PAMJ - Images in Clinical Medicine
With more than 2000 images (and counting), the PAMJ Clinical Medicine is the largest, ever expanding collection of clinical images in Africa. Images are submitted by clinical practitioners around the world to share unique clinical features for knowledge sharing and medical practice and training. Images in clinical Medical are published and under the terms of the Creative Commons Attribution 4.0 International (CC BY 4.0).
Page 114

Elephantiasis scrotal revelant un cancer de la prostate
Amal Taghy, Badreddine Hassam
PAMJ. 2014; 17: 190. Published 12 March 2014

Pedro Pons’ sign
Brahim Eljebbouri, Abad Cherif El Asri
PAMJ. 2014; 17: 177. Published 07 March 2014

Hémangiome capillaire de la paupière supérieure
Hakima Elouarradi, Rajae Daoudi
PAMJ. 2014; 17: 175. Published 07 March 2014

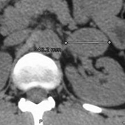
Bone tuberculosis simulating an exostosis
Youssef El Bir, Monsef Boufettal
PAMJ. 2014; 17: 173. Published 07 March 2014

Zona ophtalmique localisation palpébrale bonne évolution sous valaciclovir
Fatim-Ezzohra Benotmane, Salim Belhassan
PAMJ. 2014; 17: 167. Published 06 March 2014

Ténosynovite tuberculeuse des extenseurs de la main: localisation rare de la tuberculose
Faten Frikha, Zouhir Bahloul
PAMJ. 2014; 17: 166. Published 06 March 2014

Tophus goutteux de la main révélant une goutte
Monsef Boufettal, Mohamed Azouz
PAMJ. 2014; 17: 165. Published 06 March 2014

Œsophagite disséquante: une cause rare de dysphagie
Houda Meyiz, Ihsane Mellouki
PAMJ. 2014; 17: 164. Published 06 March 2014

Kyste colobomateux de l’orbite
Hakima Elouarradi, Moulay Zahid Bencherif
PAMJ. 2014; 17: 159. Published 05 March 2014

Cœur à six cavités chez un enfant de 11 ans
Euloge Yiagnigni Mfopou
PAMJ. 2014; 17: 156. Published 04 March 2014

Masse pré-rénale d’origine surrénalienne: quel est votre diagnostic?
Hind El Aassri, Nawal El Ansari
PAMJ. 2014; 17: 154. Published 03 March 2014

Quand un érythème peut sauver une vie
Amal Taghy, Badreddine Hassam
PAMJ. 2014; 17: 147. Published 28 February 2014

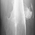
Traumatic peroneal nerve injury in an adolescent with asymptomatic tibial osteochondroma
Ali Akhaddar, Mustapha Boussouga
PAMJ. 2014; 17: 145. Published 28 February 2014

Se méfier des lentilles cosmétiques
Hakima Elouarradi, Lalla Ouafae Cherkaoui
PAMJ. 2014; 17: 143. Published 28 February 2014

Rétinoblastome bilatéral: à propos d’un cas
Hakima Elouarradi, Rajae Daoudi
PAMJ. 2014; 17: 141. Published 27 February 2014


Volume 53 (Jan - Apr 2026)
This cover image JPEG | PDF
Articles published in PAMJ are Open Access and distributed under the terms of the Creative Commons Attribution 4.0 International (CC BY 4.0).

eISSN: 1937-8688


The Pan African Medical Journal (ISSN: 1937-8688) is a subsidiary of the Pan African Medical Journal. The contents of this journal is intended exclusively for professionals in the medical, paramedical and public health and other health sectors.

Currently tracked by: DOAJ, AIM, Google Scholar, AJOL, EBSCO, Scopus, Embase, IC, HINARI, Global Health, PubMed Central, PubMed/Medline, ESCI

Physical address: "Kenya: 3rd Floor, Park Suite Building, Parkland Road, Nairobi. PoBox 38583-00100, tel: +254 (0)20-520-4356 | Cameroon: Immeuble TechnoPark Essos, Yaounde, PoBox: 10020 Yaounde, tel: +237 (0)24-309-5880"