PAMJ - Images in Clinical Medicine
With more than 2000 images (and counting), the PAMJ Clinical Medicine is the largest, ever expanding collection of clinical images in Africa. Images are submitted by clinical practitioners around the world to share unique clinical features for knowledge sharing and medical practice and training. Images in clinical Medical are published and under the terms of the Creative Commons Attribution 4.0 International (CC BY 4.0).
Page 110

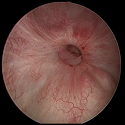
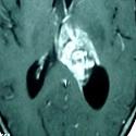
Intraventricular glioblastoma
Cherkaoui Mandour, Brahim El Mostarchid
PAMJ. 2014; 18: 100. Published 27 May 2014

Œdème papillaire de stase bilatéral révélant une hypertension intracrânienne bénigne
Hakima Elouarradi, Rajae Daoudi
PAMJ. 2014; 18: 96. Published 27 May 2014

Fistule vésico-utérine
Mehdi Kehila, Rim Ben Hmid
PAMJ. 2014; 18: 94. Published 27 May 2014

Trou maculaire post traumatique chez un enfant de six ans: documentation par OCT
Chama Daoudi, Mina Laghmari
PAMJ. 2014; 18: 90. Published 26 May 2014

Placenta percreta avec envahissement vésical
Younes Essatara, Hicham Benazzouz
PAMJ. 2014; 18: 88. Published 26 May 2014

Unusual cause of acute sciatica
Brahim Eljebbouri, Ali Akhaddar
PAMJ. 2014; 18: 85. Published 26 May 2014

Confusion entre rosacée et kératite bactérienne
Rajae Derrar, Rajae Daoudi
PAMJ. 2014; 18: 81. Published 24 May 2014

Des fractures spontanées récidivantes
Faida Ajili, Ikdam Blouza
PAMJ. 2014; 18: 73. Published 23 May 2014

L’hidradénite eccrine neutrophilique au cours d’une leucémie aigue myéloïde
Amal Taghy, Badreddine Hassam
PAMJ. 2014; 18: 72. Published 23 May 2014

La langue noire villeuse: après chimiothérapie
Sihame Lkhoyaali, Hassan Errihani
PAMJ. 2014; 18: 69. Published 22 May 2014

Une fente orbito-faciale bilatérale
Bouchra Alami, Asmae Maadane, Rachid Sekhsoukh
PAMJ. 2014; 18: 67. Published 19 May 2014

Ulcère herpétique en carte géographique
Amal Alouan, Ouafa Cherkaoui
PAMJ. 2014; 18: 65. Published 19 May 2014

Conjunctival epidermoid carcinoma: a case report
Adil Belmokhtar, Rajae Daoudi
PAMJ. 2014; 18: 54. Published 15 May 2014

Nécrose digitale du diabétique en hémodialyse
Mohamed El Amrani, Mohammed Benyahia
PAMJ. 2014; 18: 49. Published 14 May 2014

Le nævus congénital géant
Majdouline Boujoual, Fatima Jabouirik
PAMJ. 2014; 18: 48. Published 14 May 2014


Volume 53 (Jan - Apr 2026)
This cover image JPEG | PDF
Articles published in PAMJ are Open Access and distributed under the terms of the Creative Commons Attribution 4.0 International (CC BY 4.0).

eISSN: 1937-8688


The Pan African Medical Journal (ISSN: 1937-8688) is a subsidiary of the Pan African Medical Journal. The contents of this journal is intended exclusively for professionals in the medical, paramedical and public health and other health sectors.

Currently tracked by: DOAJ, AIM, Google Scholar, AJOL, EBSCO, Scopus, Embase, IC, HINARI, Global Health, PubMed Central, PubMed/Medline, ESCI

Physical address: "Kenya: 3rd Floor, Park Suite Building, Parkland Road, Nairobi. PoBox 38583-00100, tel: +254 (0)20-520-4356 | Cameroon: Immeuble TechnoPark Essos, Yaounde, PoBox: 10020 Yaounde, tel: +237 (0)24-309-5880"