PAMJ - Images in Clinical Medicine
With more than 2000 images (and counting), the PAMJ Clinical Medicine is the largest, ever expanding collection of clinical images in Africa. Images are submitted by clinical practitioners around the world to share unique clinical features for knowledge sharing and medical practice and training. Images in clinical Medical are published and under the terms of the Creative Commons Attribution 4.0 International (CC BY 4.0).
Page 118

Epulis: à propos d’un cas
Amal Akazane, Badreddine Hassam
PAMJ. 2014; 17: 19. Published 17 January 2014

Mucocèle appendiculaire secondaire à une tumeur coecale
Hossam Behammane, Younes Aggouri
PAMJ. 2014; 17: 18. Published 17 January 2014

Maladie de Kaposi classique avec atteinte du système musculo-squelettique: un nouveau cas
Meryem Soughi, Fatima Zahra Mernissi
PAMJ. 2014; 17: 17. Published 15 January 2014

Toxicité au méthotrexate au cours d’une leucémie aiguë lymphoblastique
Mouna Lamchahab, Said Benchekroun
PAMJ. 2014; 17: 16. Published 15 January 2014

Gastrocolic fistula secondary to primary gastric lymphoma
Toufik Berri
PAMJ. 2014; 17: 15. Published 15 January 2014

Les stries angioïdes
Hakima Elouarradi, Karmane Abdelouahed
PAMJ. 2014; 17: 13. Published 14 January 2014

Fracture de fatigue bilatérale des jambes au décours d’une marche soutenue
Kaouther Ben Abdelghani, Faida Ajili
PAMJ. 2014; 17: 10. Published 14 January 2014

L’atteinte oculaire au cours de l’hypertension artérielle maligne
Zouheir Hafidi , Rajae Daoudi
PAMJ. 2014; 17: 9. Published 14 January 2014

Alobar holoprosencephaly secondary to CMV infection
Sanae Abakka, Mounia Yousfi
PAMJ. 2014; 17: 8. Published 14 January 2014

Une mucormycose mammaire compliquant un intertrigo: une localisation atypique avec évolution fatale
Toufik Joulali, Mohammed Khatouf
PAMJ. 2014; 17: 5. Published 13 January 2014

Condylomes anaux de l’enfant
Maha Mael-ainin, Karima Senouci
PAMJ. 2014; 17: 1. Published 06 January 2014

Aneurysm of the thoracic and abdominal aorta in a patient aged 67 years detected incidentally in pre-anesthesia consultation
Zine el Abidine Benali, Hatim Abdedaim
PAMJ. 2013; 16: 155. Published 22 December 2013

Œsophagite disséquante sur ingestion de caustique
Aggouri Younes, Karim Ibn Majdoub Hassani
PAMJ. 2013; 16: 154. Published 21 December 2013

Primary adrenal hydatid cyst
Younes Aggouri, Karim Ibn majdoub Hassani
PAMJ. 2013; 16: 153. Published 21 December 2013

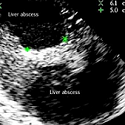
Two hepatic abscesses of biliary origin: interest of echography
Zine el Abidine Benali
PAMJ. 2013; 16: 151. Published 21 December 2013


Volume 53 (Jan - Apr 2026)
This cover image JPEG | PDF
Articles published in PAMJ are Open Access and distributed under the terms of the Creative Commons Attribution 4.0 International (CC BY 4.0).

eISSN: 1937-8688


The Pan African Medical Journal (ISSN: 1937-8688) is a subsidiary of the Pan African Medical Journal. The contents of this journal is intended exclusively for professionals in the medical, paramedical and public health and other health sectors.

Currently tracked by: DOAJ, AIM, Google Scholar, AJOL, EBSCO, Scopus, Embase, IC, HINARI, Global Health, PubMed Central, PubMed/Medline, ESCI

Physical address: "Kenya: 3rd Floor, Park Suite Building, Parkland Road, Nairobi. PoBox 38583-00100, tel: +254 (0)20-520-4356 | Cameroon: Immeuble TechnoPark Essos, Yaounde, PoBox: 10020 Yaounde, tel: +237 (0)24-309-5880"