PAMJ - Images in Clinical Medicine
With more than 2000 images (and counting), the PAMJ Clinical Medicine is the largest, ever expanding collection of clinical images in Africa. Images are submitted by clinical practitioners around the world to share unique clinical features for knowledge sharing and medical practice and training. Images in clinical Medical are published and under the terms of the Creative Commons Attribution 4.0 International (CC BY 4.0).
Page 112

L’abcès fessier: une complication inhabituelle du cancer du rectum
Souiki Tarik, Benjelloun El Bachir
PAMJ. 2014; 17: 312. Published 25 April 2014

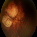
Microphtalmie colobomateuse
Zineb Jaja, Salim Belhassan
PAMJ. 2014; 17: 308. Published 22 April 2014

Specific cutaneous involvement in a child with monoblastic leukemia
Siham Cherkaoui, Said Benchekroun
PAMJ. 2014; 17: 307. Published 22 April 2014

A middle aged women with bilateral staghorn complete calculi
Jihad El Anzaoui, Driss Touiti
PAMJ. 2014; 17: 299. Published 20 April 2014

Granular Immunofluorescence deposition of IgG in anti-GBM antibody disease
Syed Amer, Mohammed Muqeetadnan
PAMJ. 2014; 17: 296. Published 18 April 2014

Chronic multiple lung abscesses presenting as a Left lung apical mass: a ticking bomb?
Godfrey Mutashambara Rwegerera, Erasmus Kago Taolo
PAMJ. 2014; 17: 292. Published 17 April 2014

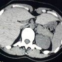
Evolution radiologique inhabituelle d’une masse surrénalienne
Raja El Latifi, Nawal El Ansari
PAMJ. 2014; 17: 291. Published 17 April 2014

Cataracte rompue post traumatisme contusif
Salim Belhassan, Rajae Daoudi
PAMJ. 2014; 17: 279. Published 14 April 2014

Baisse de l’acuité visuelle majeure révélant un mélanome choroidien malin
Rajae Derrar, Rajae Daoudi
PAMJ. 2014; 17: 277. Published 14 April 2014

Keratite infectieuse sous lentilles de contact
Belmokhtar Adil, Daoudi Rajaa
PAMJ. 2014; 17: 276. Published 14 April 2014

Hidradénome papillifère
Rajaa Elouarradi, Ouafa Hocar
PAMJ. 2014; 17: 274. Published 14 April 2014

First presentation of guttate psoriasis triggered by acute tonsillitis
Theocharis Koufakis, Ioannis Gabranis
PAMJ. 2014; 17: 273. Published 14 April 2014

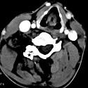
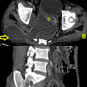
Solitary osteochondroma of the cervical spine presenting as recurrent torticollis
Ali Akhaddar, Mohamed Boucetta
PAMJ. 2014; 17: 271. Published 13 April 2014

Pedicle screw malposition following spinal lumbar injury
Ali Akhaddar, El Mehdi Atmane
PAMJ. 2014; 17: 266. Published 12 April 2014

Toxoplasmose congénitale
Rajae Derrar, Rajae Daoudi
PAMJ. 2014; 17: 260. Published 10 April 2014


Volume 53 (Jan - Apr 2026)
This cover image JPEG | PDF
Articles published in PAMJ are Open Access and distributed under the terms of the Creative Commons Attribution 4.0 International (CC BY 4.0).

eISSN: 1937-8688


The Pan African Medical Journal (ISSN: 1937-8688) is a subsidiary of the Pan African Medical Journal. The contents of this journal is intended exclusively for professionals in the medical, paramedical and public health and other health sectors.

Currently tracked by: DOAJ, AIM, Google Scholar, AJOL, EBSCO, Scopus, Embase, IC, HINARI, Global Health, PubMed Central, PubMed/Medline, ESCI

Physical address: "Kenya: 3rd Floor, Park Suite Building, Parkland Road, Nairobi. PoBox 38583-00100, tel: +254 (0)20-520-4356 | Cameroon: Immeuble TechnoPark Essos, Yaounde, PoBox: 10020 Yaounde, tel: +237 (0)24-309-5880"