PAMJ - Images in Clinical Medicine
With more than 2000 images (and counting), the PAMJ Clinical Medicine is the largest, ever expanding collection of clinical images in Africa. Images are submitted by clinical practitioners around the world to share unique clinical features for knowledge sharing and medical practice and training. Images in clinical Medical are published and under the terms of the Creative Commons Attribution 4.0 International (CC BY 4.0).
Page 109

Acute traumatic maculopathy
Omar Lezrek, Mounir Lezrek
PAMJ. 2014; 18: 133. Published 11 June 2014

Un type rare de luxation d’épaule
Issam Elouakili, Younes Ouchrif
PAMJ. 2014; 18: 131. Published 11 June 2014

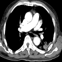
Aortic and left pulmonary artery dilatation: an unusual cause of a left hilar mass and lung collapse
Adenike Temitayo Adeniji-Sofoluwe, Atiku Hafiz
PAMJ. 2014; 18: 130. Published 10 June 2014

Conflit neurovasculaire de l’angle pontocérébelleux
Taoufik Africha, Mohammed Touati
PAMJ. 2014; 18: 129. Published 10 June 2014

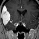
Abcès sous périosté orbitaire compliquant une sinusite : à propos d’un cas
Hakima Elouarradi, Rajae Daoudi
PAMJ. 2014; 18: 128. Published 10 June 2014

Unilateral bullous exudative retinal detachment in Behçet’s disease
Zouheir Hafidi, Rajae Daoudi
PAMJ. 2014; 18: 127. Published 10 June 2014

Ectropion bilatéral sévère compliquant une sclérodermie : à propos d’un cas
Jaja Zineb, Daoudi Rajae
PAMJ. 2014; 18: 125. Published 09 June 2014

Hypopion inverse
Omar Lezrek, Mounir Lezrek
PAMJ. 2014; 18: 123. Published 07 June 2014

Fatal re-expansion of hypertensive cerebellar hematoma
Ali Akhaddar, El Mehdi Atmane
PAMJ. 2014; 18: 122. Published 07 June 2014

Kyste épidermoïde du troisième ventricule: une localisation rare
Sidi Salem-Memou, Carmine Mottolese
PAMJ. 2014; 18: 120. Published 06 June 2014

Ossification du ligament vertébral commun postérieur lombaire et sciatalgie chez un patient tunisien
Wassia Kessomtini, Wafa Chebbi
PAMJ. 2014; 18: 114. Published 04 June 2014

Tumeur de la muqueuse buccale
Iman Hadj, Fatima Zahra Mernissi
PAMJ. 2014; 18: 113. Published 04 June 2014

Coexistence d’un anévrisme sylvien et d’un méningiome intracrânien
Sidi Salem-memou, Bernard Vallee
PAMJ. 2014; 18: 112. Published 04 June 2014

Dermoscopic features of sarcoidosis
Iman Hadj, Fatima Zahra Mernissi
PAMJ. 2014; 18: 111. Published 04 June 2014

Syndrome de Nicolau compliquant une injection intramusculaire de benzathine penicilline
Sarra Benmiloud, Moustapha Hida
PAMJ. 2014; 18: 105. Published 30 May 2014


Volume 53 (Jan - Apr 2026)
This cover image JPEG | PDF
Articles published in PAMJ are Open Access and distributed under the terms of the Creative Commons Attribution 4.0 International (CC BY 4.0).

eISSN: 1937-8688


The Pan African Medical Journal (ISSN: 1937-8688) is a subsidiary of the Pan African Medical Journal. The contents of this journal is intended exclusively for professionals in the medical, paramedical and public health and other health sectors.

Currently tracked by: DOAJ, AIM, Google Scholar, AJOL, EBSCO, Scopus, Embase, IC, HINARI, Global Health, PubMed Central, PubMed/Medline, ESCI

Physical address: "Kenya: 3rd Floor, Park Suite Building, Parkland Road, Nairobi. PoBox 38583-00100, tel: +254 (0)20-520-4356 | Cameroon: Immeuble TechnoPark Essos, Yaounde, PoBox: 10020 Yaounde, tel: +237 (0)24-309-5880"