PAMJ - Images in Clinical Medicine
With more than 2000 images (and counting), the PAMJ Clinical Medicine is the largest, ever expanding collection of clinical images in Africa. Images are submitted by clinical practitioners around the world to share unique clinical features for knowledge sharing and medical practice and training. Images in clinical Medical are published and under the terms of the Creative Commons Attribution 4.0 International (CC BY 4.0).
Page 62

Cyst of the back of the hand
Amina Kissou, Badr Eddine Hassam
PAMJ. 2017; 28: 52. Published 20 September 2017

Lhermitte-Duclos disease: an extremely rare cerebellar tumor
Salah Bellasri, Soufiane Belabbas
PAMJ. 2017; 28: 51. Published 20 September 2017

Géantes lithiases de stase sur vessie iléo-caecale
Hamza Dergamoun, Zayd El Boukili El Makhoukhi
PAMJ. 2017; 28: 50. Published 20 September 2017

Lipome du lobe profond de la glande parotide
Hicham Attifi, Mehdi Lagtoubi
PAMJ. 2017; 28: 47. Published 20 September 2017

Une tumeur exophytique du cuir chevelu
Ilhame Naciri, Baderddine Hassam
PAMJ. 2017; 28: 45. Published 18 September 2017

Plaques sclérales séniles
Mohamed Elyadari, Amina Berraho
PAMJ. 2017; 28: 31. Published 14 September 2017

Tuberculosis of the scalp: the tubercle bacilli has not ceased to surprise us
Adil Zegmout, Hicham Souhi
PAMJ. 2017; 28: 28. Published 13 September 2017

Expulsion trans abdominale spontanée d’un corps étranger
Houcine Maghrebi, Zoubeir Bensafta
PAMJ. 2017; 28: 17. Published 11 September 2017

Aspect clinico-électrocardiographique d'embolie pulmonaire masquant une dissection aortique révélé par l'angioscanner thoracique
Daniella Rakotoniaina Masinarivo, Jenny Larissa Rakotomanana
PAMJ. 2017; 28: 3. Published 04 September 2017

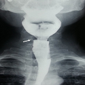
Cricopharyngeal bar
Suresh Chander Sharma, Pirabu Sakthivel
PAMJ. 2017; 27: 288. Published 23 August 2017

Ulcère de jambe révélant la leishmaniose cutanée
Elalouani Elmehdi, Bachar Zerkly
PAMJ. 2017; 27: 287. Published 23 August 2017

Duodenal diverticulitis: a difficult clinical problem
Houcine Maghrebi, Zoubeir Bensafta
PAMJ. 2017; 27: 286. Published 23 August 2017

Intraperitoneal recurrence of renal haemangiopericytoma
Fatima Zahra El M’rabet, Meryem Azegrar
PAMJ. 2017; 27: 264. Published 09 August 2017

Duplicité de l’urètre de type IIA2 en "Y"
Mohammed Alae Touzani, Othmane Yddoussalah
PAMJ. 2017; 27: 254. Published 04 August 2017

Un ectropion urétral peut cacher un carcinome!
Mohammed Alae Touzani, Othmane Yddoussalah
PAMJ. 2017; 27: 249. Published 03 August 2017


Volume 53 (Jan - Apr 2026)
This cover image JPEG | PDF
Articles published in PAMJ are Open Access and distributed under the terms of the Creative Commons Attribution 4.0 International (CC BY 4.0).

eISSN: 1937-8688


The Pan African Medical Journal (ISSN: 1937-8688) is a subsidiary of the Pan African Medical Journal. The contents of this journal is intended exclusively for professionals in the medical, paramedical and public health and other health sectors.

Currently tracked by: DOAJ, AIM, Google Scholar, AJOL, EBSCO, Scopus, Embase, IC, HINARI, Global Health, PubMed Central, PubMed/Medline, ESCI

Physical address: "Kenya: 3rd Floor, Park Suite Building, Parkland Road, Nairobi. PoBox 38583-00100, tel: +254 (0)20-520-4356 | Cameroon: Immeuble TechnoPark Essos, Yaounde, PoBox: 10020 Yaounde, tel: +237 (0)24-309-5880"