PAMJ - Images in Clinical Medicine
With more than 2000 images (and counting), the PAMJ Clinical Medicine is the largest, ever expanding collection of clinical images in Africa. Images are submitted by clinical practitioners around the world to share unique clinical features for knowledge sharing and medical practice and training. Images in clinical Medical are published and under the terms of the Creative Commons Attribution 4.0 International (CC BY 4.0).
Page 56

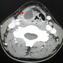
Une dyspnée révélant une laryngopyocèle
Rachidi Alaoui Siham, Zeriouel Asmae
PAMJ. 2018; 29: 68. Published 24 January 2018

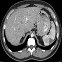
Tumeur rénale ou pyélonéphrite xanthogranulomateuse pseudotumorale
Siham Alaoui Rachidi, Asmae Zeriouel
PAMJ. 2018; 29: 67. Published 24 January 2018

Une toxidermie mimant un lupus érythémateux aigüe chimio-induit
Saoussane Kharmoum, Meryem Soughi
PAMJ. 2018; 29: 66. Published 24 January 2018

Posterior epidural migration of a lumbar disk: an entity not to ignore
Samia Frioui, Faycel Khachnaoui
PAMJ. 2018; 29: 59. Published 22 January 2018

"Non parasitic hypereosinophilia revealing biventricular endomyocardial fibrosis"
Abdelkader Jalil El Hangouche, Oumaima Alaika
PAMJ. 2018; 29: 58. Published 22 January 2018

Giant left atrium causing severe dysphagia
Attila Frigy
PAMJ. 2018; 29: 52. Published 19 January 2018

A 29-year old man with abdominal pain
Petros Ioannou
PAMJ. 2018; 29: 51. Published 19 January 2018

Hand injury from pneumatic needle gun
Rodolfo Mendes Queiroz, Fred Bernardes Filho
PAMJ. 2018; 29: 46. Published 18 January 2018

Rupture hémorragique d’une malformation arterioveineuse géante chez un sujet jeune à Ouagadougou
Anselme Alfred Dabilgou, Julie Marie Adeline Kyelem
PAMJ. 2018; 29: 38. Published 17 January 2018

Osteitis of the cuboid on unknown foreign body
Hassane Zejjari
PAMJ. 2018; 29: 29. Published 12 January 2018

Lithiase vésicale géante
Yaya Ouattara, Joseph Koné
PAMJ. 2018; 29: 28. Published 12 January 2018

Invasive hydatidiform mole in the cervix
Houssine Boufettal, Naïma Samouh
PAMJ. 2018; 29: 27. Published 12 January 2018

Rhabdomyosarcome embryonnaire du cuir chevelu: à propos d’un cas
Othmane Alaoui
PAMJ. 2018; 29: 23. Published 11 January 2018

Adult aorta coarctation associated with double superior vena cava
Chtioui Mamoun, Fellat Nadia
PAMJ. 2018; 29: 17. Published 08 January 2018


Volume 53 (Jan - Apr 2026)
This cover image JPEG | PDF
Articles published in PAMJ are Open Access and distributed under the terms of the Creative Commons Attribution 4.0 International (CC BY 4.0).

eISSN: 1937-8688


The Pan African Medical Journal (ISSN: 1937-8688) is a subsidiary of the Pan African Medical Journal. The contents of this journal is intended exclusively for professionals in the medical, paramedical and public health and other health sectors.

Currently tracked by: DOAJ, AIM, Google Scholar, AJOL, EBSCO, Scopus, Embase, IC, HINARI, Global Health, PubMed Central, PubMed/Medline, ESCI

Physical address: "Kenya: 3rd Floor, Park Suite Building, Parkland Road, Nairobi. PoBox 38583-00100, tel: +254 (0)20-520-4356 | Cameroon: Immeuble TechnoPark Essos, Yaounde, PoBox: 10020 Yaounde, tel: +237 (0)24-309-5880"