PAMJ - Images in Clinical Medicine
With more than 2000 images (and counting), the PAMJ Clinical Medicine is the largest, ever expanding collection of clinical images in Africa. Images are submitted by clinical practitioners around the world to share unique clinical features for knowledge sharing and medical practice and training. Images in clinical Medical are published and under the terms of the Creative Commons Attribution 4.0 International (CC BY 4.0).
Page 99

Luxation traumatique de la hanche chez l’enfant (à propos d’un cas)
Ismail Hmouri, Mohamed Saleh Berrada
PAMJ. 2014; 19: 397. Published 22 December 2014

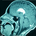
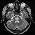
A rare cause of generalized seizures: agenesis and Lipoma of the corpus Callosum
Ahmed Belkouch, Abdelilah Mouhsine
PAMJ. 2014; 19: 384. Published 17 December 2014

Fordyce angiokeratoma
Theocharis Koufakis, Ioannis Gabranis
PAMJ. 2014; 19: 376. Published 12 December 2014

Un lymphangiome microkystique
Amal Akazane, Badreddine Hassam
PAMJ. 2014; 19: 374. Published 12 December 2014

A girl with a torticollis without trauma: Grisel’s syndrome
Ozgur Sogut, Kenan Ahmet Turkdogan
PAMJ. 2014; 19: 371. Published 11 December 2014

Multicystic tuberculosis pericarditis
Hanane Hadj kacem, Zakaria Bazid
PAMJ. 2014; 19: 366. Published 10 December 2014

Neurorétinite stellaire révélant une bartonellose
Rajae Derrar, Rajae Daoudi
PAMJ. 2014; 19: 344. Published 03 December 2014

Encéphalopathie de Wernicke compliquant l’hyperémèse gravidique et associée à une myélinolyse centropontique
Hanane Baouahi, Mouhssine Doumiri
PAMJ. 2014; 19: 340. Published 01 December 2014

Cas historique de carcinome basocellulaire du nez
Inssaf Ramli, Badredine Hassam
PAMJ. 2014; 19: 326. Published 27 November 2014

La mélorhéostose
Kawtar Nassar, Ouafa Mkinsi
PAMJ. 2014; 19: 314. Published 21 November 2014

Stries angioïdes compliquées d’une néovascularisation choroïdienne
Mohammed El Mellaoui, Abdelkader Laktaoui
PAMJ. 2014; 19: 312. Published 21 November 2014

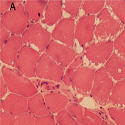
La maladie de pompe de l’adulte: une entité rare à ne pas méconnaitre
Wafa Chebbi, Baha Zantour
PAMJ. 2014; 19: 304. Published 20 November 2014

Nodule unique de la vulve: penser à l’hidradénome papillifère
Inssaf Ramli, Badredine Hassam
PAMJ. 2014; 19: 301. Published 19 November 2014

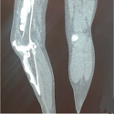
Un équivalent de Galeazzi chez l’enfant: une entité clinique rare
Mechchat Atif, Abdelmajid Elmrini
PAMJ. 2014; 19: 295. Published 17 November 2014


Volume 53 (Jan - Apr 2026)
This cover image JPEG | PDF
Articles published in PAMJ are Open Access and distributed under the terms of the Creative Commons Attribution 4.0 International (CC BY 4.0).

eISSN: 1937-8688


The Pan African Medical Journal (ISSN: 1937-8688) is a subsidiary of the Pan African Medical Journal. The contents of this journal is intended exclusively for professionals in the medical, paramedical and public health and other health sectors.

Currently tracked by: DOAJ, AIM, Google Scholar, AJOL, EBSCO, Scopus, Embase, IC, HINARI, Global Health, PubMed Central, PubMed/Medline, ESCI

Physical address: "Kenya: 3rd Floor, Park Suite Building, Parkland Road, Nairobi. PoBox 38583-00100, tel: +254 (0)20-520-4356 | Cameroon: Immeuble TechnoPark Essos, Yaounde, PoBox: 10020 Yaounde, tel: +237 (0)24-309-5880"