PAMJ - Images in Clinical Medicine
With more than 2000 images (and counting), the PAMJ Clinical Medicine is the largest, ever expanding collection of clinical images in Africa. Images are submitted by clinical practitioners around the world to share unique clinical features for knowledge sharing and medical practice and training. Images in clinical Medical are published and under the terms of the Creative Commons Attribution 4.0 International (CC BY 4.0).
Page 101

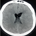
Pneumocéphalie compliquant un Blood patch réalisé pour des céphalées post césarienne
Nezha Oudghiri, Nezha Oudghiri
PAMJ. 2014; 19: 201. Published 24 October 2014

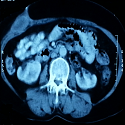
Volvulus du cæcum sur tumeur appendiculaire: à propos d’un cas rare
Hicham El Bouhaddouti, Khalid El
PAMJ. 2014; 19: 199. Published 24 October 2014

Diverticule de Meckel compliqué d’un abcès rétro péritonéal: à propos d’un cas rare
Hicham El Bouhaddouti, Khalid El Haoudi
PAMJ. 2014; 19: 195. Published 23 October 2014

Fistule appendiculo-cutanée: complication rare de l’appendicite aiguë
Khalid El Haoudi, Karim Ibn Majdoub
PAMJ. 2014; 19: 194. Published 23 October 2014

Maladie de Bowen pigmentée génitale
Mariem Bounouar, Fatimazahra Mernissi
PAMJ. 2014; 19: 192. Published 23 October 2014

Synéchies irido-cristallinniennes révélant une spondylarthrite ankylosante
Rajae Derrar, Rajae Daoudi
PAMJ. 2014; 19: 191. Published 23 October 2014

Un cas de dégénérescence astéroïde du vitré
Fatima Zohra El Meriague, Rajae Daoudi
PAMJ. 2014; 19: 186. Published 23 October 2014

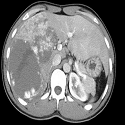
Des masses rénales, pancréatiques et surrénaliennes
Faida Ajili, Mohamed Dridi
PAMJ. 2014; 19: 184. Published 21 October 2014

Angiome géant du foie
Pierlesky Elion Ossibi, Karim Ibn Majdoub
PAMJ. 2014; 19: 174. Published 20 October 2014

Nodules de Lisch dans la maladie de Von Recklinghausen
Chama Daoudi, Rajae Daoudi
PAMJ. 2014; 19: 173. Published 20 October 2014

Congenital hypertrophy of the retinal pigment epithelium in Gardner’s syndrome
Mina Laghmari, Omar Lezrek
PAMJ. 2014; 19: 164. Published 17 October 2014

Mélanome sur naevus congénital: à propos d’un cas
Iman Hadj, Fatima Zahra Mernissi
PAMJ. 2014; 19: 161. Published 16 October 2014

Carcinoïd tumor revealing pernicious anemia
Neirouz Ghannouchi Jaafoura, Ahlem Braham Krifa
PAMJ. 2014; 19: 153. Published 15 October 2014

Pyoderma gangrénosum végétant idiopathique
Karima Chakir, Badreddine Hassam
PAMJ. 2014; 19: 144. Published 14 October 2014

Bébé pas comme les autres
Nada El Moussaoui, Fatima Jabouirik
PAMJ. 2014; 19: 143. Published 14 October 2014


Volume 53 (Jan - Apr 2026)
This cover image JPEG | PDF
Articles published in PAMJ are Open Access and distributed under the terms of the Creative Commons Attribution 4.0 International (CC BY 4.0).

eISSN: 1937-8688


The Pan African Medical Journal (ISSN: 1937-8688) is a subsidiary of the Pan African Medical Journal. The contents of this journal is intended exclusively for professionals in the medical, paramedical and public health and other health sectors.

Currently tracked by: DOAJ, AIM, Google Scholar, AJOL, EBSCO, Scopus, Embase, IC, HINARI, Global Health, PubMed Central, PubMed/Medline, ESCI

Physical address: "Kenya: 3rd Floor, Park Suite Building, Parkland Road, Nairobi. PoBox 38583-00100, tel: +254 (0)20-520-4356 | Cameroon: Immeuble TechnoPark Essos, Yaounde, PoBox: 10020 Yaounde, tel: +237 (0)24-309-5880"