PAMJ - Images in Clinical Medicine
With more than 2000 images (and counting), the PAMJ Clinical Medicine is the largest, ever expanding collection of clinical images in Africa. Images are submitted by clinical practitioners around the world to share unique clinical features for knowledge sharing and medical practice and training. Images in clinical Medical are published and under the terms of the Creative Commons Attribution 4.0 International (CC BY 4.0).
Page 68

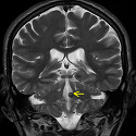
Cavernome du quatrième ventricule
Youssef Alaoui Lamrani, Mustapha Maâroufi
PAMJ. 2017; 26: 101. Published 26 February 2017

Monoarthritis of the knee revealing tabetic arthropathy
Zeineb Alaya, Walid Osman
PAMJ. 2017; 26: 100. Published 24 February 2017

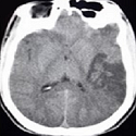
Lung hemorrhage and brain stroke following fatal viper (cerastes cerastes) bite
Salah Bellasri, Hicham Janah
PAMJ. 2017; 26: 99. Published 24 February 2017

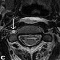
Une cause rare de compression médullaire : l'hématome épidural rachidien spontané
Abderrazzak El Saqui, Mohamed Aggouri
PAMJ. 2017; 26: 96. Published 24 February 2017

Une étiologie rare du syndrome de la queue de cheval : l'hémangiome vertébral neuro-agressif
Abderrazzak El Saqui, Mohamed Aggouri
PAMJ. 2017; 26: 95. Published 24 February 2017

Osteoid osteoma of the scapula mimicking a pathology of the shoulder
Zeineb Alaya, Walid Osman
PAMJ. 2017; 26: 94. Published 24 February 2017

Glioblastomes intra médullaire chez l'enfant: localisation et type histologique rare
Abderrazzak El Saqui, Aggouri Mohamed
PAMJ. 2017; 26: 91. Published 23 February 2017

Trochantérite tuberculeuse isolée
Zeineb Alaya, Walid Osman
PAMJ. 2017; 26: 85. Published 21 February 2017

Le neurofibrome plexiforme diffus de la cuisse gauche chez une patiente âgée de 78 ans en milieu dermatologique à Bamako
Békaye Traoré, Youssouf Fofana
PAMJ. 2017; 26: 82. Published 21 February 2017

An unusual cause of chronic low back pain: ochronosis
Zeineb Alaya, Anis Mzabi
PAMJ. 2017; 26: 81. Published 21 February 2017

Dissection vertébrale post-traumatique asymptomatique: résultats IRM
Youssef Alaoui Lamrani, Mustapha Maaroufi
PAMJ. 2017; 26: 78. Published 20 February 2017

Giant laryngeal polyp: an unusual indication of tracheostomy
Moncef Sellami, Mohamed Amine Chaabouni
PAMJ. 2017; 26: 76. Published 20 February 2017

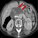
Hématome spontané du rein
Adil Kallat, Hani Abousaleh
PAMJ. 2017; 26: 75. Published 20 February 2017

Découverte d’un cas inhabituel de méga cholécystite aigue associé à une dilatation kystique de la voie biliaire principale
Ababacar Abdoulaye Traore, Alami Badreeddine
PAMJ. 2017; 26: 70. Published 20 February 2017

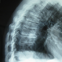
Fistulized multidrug-resistant tuberculosis
Naoual El Omri, Fadwa Mekouar
PAMJ. 2017; 26: 67. Published 05 February 2017


Volume 53 (Jan - Apr 2026)
This cover image JPEG | PDF
Articles published in PAMJ are Open Access and distributed under the terms of the Creative Commons Attribution 4.0 International (CC BY 4.0).

eISSN: 1937-8688


The Pan African Medical Journal (ISSN: 1937-8688) is a subsidiary of the Pan African Medical Journal. The contents of this journal is intended exclusively for professionals in the medical, paramedical and public health and other health sectors.

Currently tracked by: DOAJ, AIM, Google Scholar, AJOL, EBSCO, Scopus, Embase, IC, HINARI, Global Health, PubMed Central, PubMed/Medline, ESCI

Physical address: "Kenya: 3rd Floor, Park Suite Building, Parkland Road, Nairobi. PoBox 38583-00100, tel: +254 (0)20-520-4356 | Cameroon: Immeuble TechnoPark Essos, Yaounde, PoBox: 10020 Yaounde, tel: +237 (0)24-309-5880"