Apparent "double wall sign" in emphysematous bullae of the lung

Lokesh Devalla

PAMJ. 2026; 53:154. Published 13 Apr 2026 | doi:10.11604/pamj.2026.53.154.43815

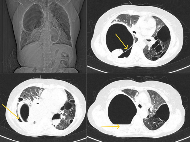
A 52-year-old female patient came to the hospital with complaints of progressive breathlessness and dry cough on and off for 6 months, relieved with medications. High-Resolution Computed Tomography (HRCT) of the thorax showed a large thick-walled cavity showing air-fluid level in the right hemithorax and bilateral pan-acinar, paraseptal emphysematous changes with adjacent consolidation, and ground-glass opacities termed as bullae. A bulla is an air-containing structure bigger than 1 cm in diameter that develops inside the lung parenchyma as a result of disruption, dilation, and convergence of airspaces distal to terminal bronchioles. Massive bullous emphysema, when causing progressive dyspnea, is called "vanishing-lung syndrome." They are avascular radiolucent patches with curvilinear walls less than 1 mm in thickness, so challenging to identify radiologically from pneumothorax. A computed tomography (CT) scan is more sensitive for a precise evaluation, particularly when the bullae are veiled. The clinical image depicts a valuable "double-wall sign" that helps identify pneumothorax from adjacent giant bullae. When air is seen on either side of the bulla wall and parallel to the chest wall, the sign becomes obvious, and the lack of this sign reduces the probability of pneumothorax. A potential pitfall is the false visualisation of a double-wall sign when two bullae are adjacent to one another, sometimes simulating a pneumothorax and causing an apparent double-wall sign. However, a detailed study will show that the pleural gap is airless and the bulla wall is perpendicular to the chest wall. Hence, it is critical to distinguish between bullae and pneumothorax precisely to prevent iatrogenic pneumothorax from needless chest tube insertion.
Corresponding author
Lokesh Devalla, Department of Respiratory Medicine, Jawaharlal Nehru Medical College, Datta Meghe Institute of Higher Education and Research, Sawangi (Meghe), Wardha, Maharashtra, India (lokesh.devalla@gmail.com)

This image

  • HTML
  • PDF in process
Articles published in PAMJ are Open Access and distributed under the terms of the Creative Commons Attribution 4.0 International (CC BY 4.0).

eISSN: 1937-8688


The Pan African Medical Journal (ISSN: 1937-8688) is a subsidiary of the Pan African Medical Journal. The contents of this journal is intended exclusively for professionals in the medical, paramedical and public health and other health sectors.

Currently tracked by: DOAJ, AIM, Google Scholar, AJOL, EBSCO, Scopus, Embase, IC, HINARI, Global Health, PubMed Central, PubMed/Medline, ESCI

Physical address: "Kenya: 3rd Floor, Park Suite Building, Parkland Road, Nairobi. PoBox 38583-00100, tel: +254 (0)20-520-4356 | Cameroon: Immeuble TechnoPark Essos, Yaounde, PoBox: 10020 Yaounde, tel: +237 (0)24-309-5880"