A look inside Chediak-Higashi syndrome: a microscopic view of the disorder

Suhit Naseri, Samarth Shukla

PAMJ. 2026; 53:105. Published 02 Mar 2026 | doi:10.11604/pamj.2026.53.105.40196

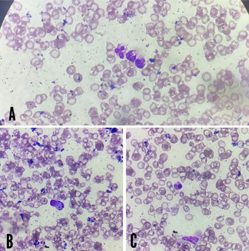
A 3-year-old boy presented with recurrent episodes of lower respiratory tract infections since infancy, along with noticeable hypopigmentation of the skin and silvery hair. He was born to non-consanguineous parents, with no significant perinatal or family history. On examination, the child had pallor and partial oculocutaneous albinism but no organomegaly at presentation. Peripheral blood smear evaluation revealed characteristic giant azurophilic cytoplasmic granules within neutrophils (A), lymphocytes (B, C), and monocytes, suggestive of a lysosomal trafficking defect. These findings, in conjunction with recurrent infections and hypopigmentation, led to a diagnosis of Chediak-Higashi Syndrome. Hematological workup showed mild anemia without evidence of an accelerated phase. Differential diagnoses, including oculocutaneous albinism, Hermansky-Pudlak syndrome, and Griscelli syndrome, were considered; however, the presence of pathognomonic giant granules in leukocytes confirmed the diagnosis. The child was managed with prompt antibiotic therapy for active infection and supportive care. Parents were counselled regarding the genetic basis of the disorder and the risk of progression to the accelerated phase. Hematopoietic stem cell transplantation was discussed as a potential definitive treatment option in severe disease. On short-term follow-up, the child showed improvement in respiratory symptoms and remains under regular monitoring for infectious and hematological complications.
Corresponding author
Suhit Naseri, Department of Pathology, Datta Meghe Medical College, Datta Meghe Institute of Higher Education and Research, Wanadongri, Nagpur, India (drsuhitnaseri@gmail.com)

This image

  • HTML
  • PDF in process
Articles published in PAMJ are Open Access and distributed under the terms of the Creative Commons Attribution 4.0 International (CC BY 4.0).

eISSN: 1937-8688


The Pan African Medical Journal (ISSN: 1937-8688) is a subsidiary of the Pan African Medical Journal. The contents of this journal is intended exclusively for professionals in the medical, paramedical and public health and other health sectors.

Currently tracked by: DOAJ, AIM, Google Scholar, AJOL, EBSCO, Scopus, Embase, IC, HINARI, Global Health, PubMed Central, PubMed/Medline, ESCI

Physical address: "Kenya: 3rd Floor, Park Suite Building, Parkland Road, Nairobi. PoBox 38583-00100, tel: +254 (0)20-520-4356 | Cameroon: Immeuble TechnoPark Essos, Yaounde, PoBox: 10020 Yaounde, tel: +237 (0)24-309-5880"