A bag of stones found incidentally

Yoen Young Chuah, Wen-Tzong Lee

PAMJ. 2026; 53:83. Published 13 Feb 2026 | doi:10.11604/pamj.2026.53.83.51341

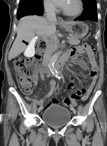
A 91-year-old woman presented with right flank pain for two days without fever, dysuria, trauma, or recent falls. Physical examination revealed no costovertebral angle tenderness. Laboratory tests showed an elevated C-reactive protein level of 3.6 mg/dL without leukocytosis. Urinalysis demonstrated pyuria and bacteriuria. She was treated empirically for acute pyelonephritis with intravenous cefoxitin, and urine culture later grew Escherichia coli sensitive to cephalosporins. Abdominal computed tomography (CT) revealed rupture of a right renal cyst. Incidentally, the gallbladder was filled with multiple small, round, hyperdense calculi, producing a striking "bag of stones" appearance (image 1, arrow). These findings were consistent with asymptomatic cholelithiasis. The patient´s flank pain improved after a 7-day course of antibiotics. She was discharged in stable condition, and outpatient follow-up was unremarkable. Asymptomatic gallstones are commonly detected incidentally, and most patients remain symptom-free; therefore, expectant management is generally recommended. Prophylactic cholecystectomy is reserved for selected high-risk patients, such as those with porcelain gallbladder, large gallstones (>3 cm), anomalous pancreaticobiliary ductal junctions, gallbladder adenomas, or underlying hemolytic disorders.
Corresponding author
Wen-Tzong Lee, Department of Biomechatronics Engineering, National Pingtung University of Science and Technology, Pingtung, Taiwan (yoenyoungchuah@gmail.com)

This image

  • HTML
  • PDF in process
Articles published in PAMJ are Open Access and distributed under the terms of the Creative Commons Attribution 4.0 International (CC BY 4.0).

eISSN: 1937-8688


The Pan African Medical Journal (ISSN: 1937-8688) is a subsidiary of the Pan African Medical Journal. The contents of this journal is intended exclusively for professionals in the medical, paramedical and public health and other health sectors.

Currently tracked by: DOAJ, AIM, Google Scholar, AJOL, EBSCO, Scopus, Embase, IC, HINARI, Global Health, PubMed Central, PubMed/Medline, ESCI

Physical address: "Kenya: 3rd Floor, Park Suite Building, Parkland Road, Nairobi. PoBox 38583-00100, tel: +254 (0)20-520-4356 | Cameroon: Immeuble TechnoPark Essos, Yaounde, PoBox: 10020 Yaounde, tel: +237 (0)24-309-5880"